Wat gebeurt er in ons brein als wij woorden of sprekers onderscheiden? Dat probeer ik te achterhalen met fMRI-scans in Maastricht.
Afgelopen maanden heb ik vooral in Maastricht gewerkt. Ik doe hier de laatste studie van mijn project. Wij onderzoeken met fMRI wat er gebeurt in ons brein als wij bepaalde taalklanken horen die verschillen in klinker, bijvoorbeeld beek of beuk, en spreker, bijvoorbeeld een mannen-of vrouwenstem. Dit doen wij de hele dag automatisch maar hoe deze processen precies samenwerken is nog niet duidelijk.
Kamer met uitzicht
Maastricht is super fijn, zeker tijdens deze mooie (na)zomerdagen. Overdag werk ik in de koele kelder van de faculteit waar de airco optimaal werkt (in tegenstelling tot bovenin het gebouw) en ‘s avonds ren ik langs de Maas, eet ik met collega’s of vrienden op terras en overnacht ik in een hotel (room with view!).
Meestal pak ik maandagochtend vroeg de trein. Tijdens de rit ontbijt ik en lees ik of beantwoord ik mailtjes. Dan ben ik rond 9:00 op de faculteit in Maastricht en dan haal ik een koffie om echt op te starten. De koffiecorner is fantastisch en de echte Limburgers zeggen altijd ‘laat het u smaken’. Zo vriendelijk!
Scannen
Vaak beginnen we ’s ochtends met scannen. Ik vertel de proefpersoon hoe alles werkt en dan vult de proefpersoon formulieren in. Dankzij mijn Duitse collega hebben we een optimale scanprocedure die ons gedetailleerde beelden van de hele cortex (zie kader) oplevert. Terwijl de proefpersoon druk bezig is met stil liggen en tijdens een taakje klanken onderscheid op klinker of spreker, bekijken wij beelden en passen wij de instellingen aan op de persoon. We passen het gebied dat wij scannen aan op hoe de persoon ligt en hoe groot zijn of haar brein is.
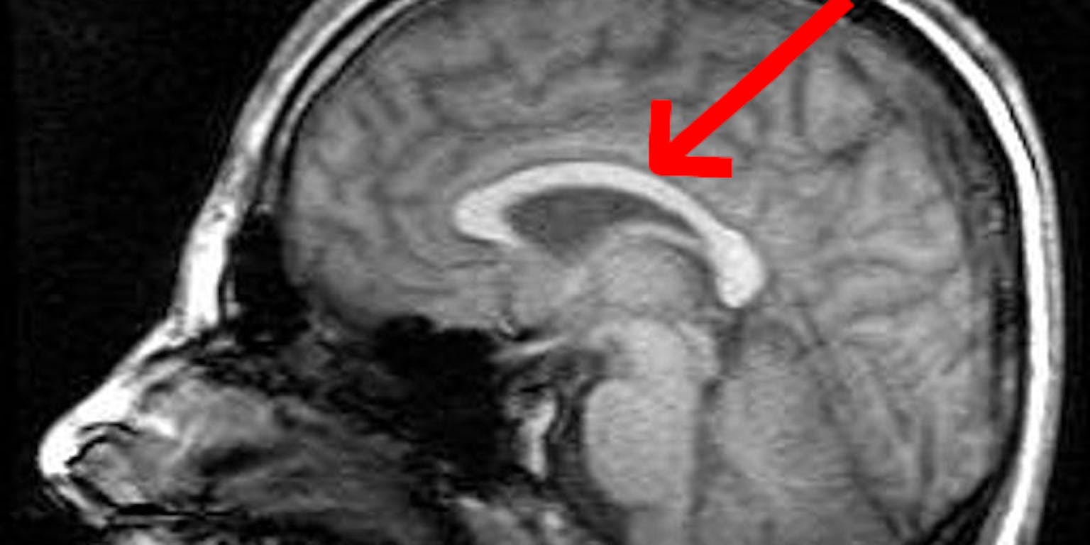
Daarnaast zijn er verschillen in het magnetische veld en dat moet gelijk worden gemaakt om goede scans te kunnen krijgen. Tussen de verschillende scans door kunnen wij praten met de proefpersoon. Dan vragen wij even hoe het gaat en vertellen wij dat wij nog iets moeten instellen voordat de taak begint. Elk brein is echt heel anders en dat is wel heel bijzonder om te zien. Je kan bijvoorbeeld verschillen zien in de grootte en dikte van de hersenbalk, of het corpus callosum (de verbinding tussen de linker en rechter hersenhelft) (zie MRI-scans).
Praktische problemen
Natuurlijk, het onderzoek geeft soms wat stress. Als een proefpersoon niet komt opdagen dan denk je wel aan de tijd en het geld dat je verspilt. Wij gebruiken een 7-T MRI-scanner (red: de sterkte van het magneetveld wordt uitgedrukt in het aantal Tesla. In de meeste ziekenhuizen staan 3-T-scanners) en die is duur. Voor het idee: voor 2,5 uur scannen zou ik bijna drie weken moeten werken als ik het zelf moest betalen.
Soms gaat er ook iets mis waar niet zoveel aan te doen is. Zo vertellen wij de proefpersonen dat zij stil moeten liggen omdat wij dan goede beelden krijgen. Maar soms moet iemand gewoon even slikken of hoesten. Laatst hadden we een proefpersoon die aangaf dat hij naar de wc moest. Gelukkig kon hij het nog even ophouden voor de laatste tien minuten van de scan.
Nu ben ik druk bezig met de laatste analyses. Inmiddels heb ik ook een nieuwe laptop die deze analyses kan draaien want het vraagt nogal wat werkgeheugen om die grote bestanden te verwerken. Hopelijk weet ik dan straks meer over de verschillen en overeenkomsten in het verwerken van verschillende stemmen en verschillende woorden in het brein.
Zie voor meer informatie over fMRI ook het artikel over Face of Science Barbara Braams

