De Mycobacterium avium, een bacterie die veel vogels met zich meedragen, kan ook jonge kinderen besmetten. Dat doet zij vooral in streng gelovige gebieden. Nader onderzoek in het AMC moet licht werpen op dit curieuze feit. De studie moet ook een wetenschappelijke basis opleveren voor de beste behandeling van deze aandoening.
Hij vond het opmerkelijk. Toen kaakchirurg Jerôme Lindeboom de eerste resultaten van een onderzoek naar vogeltjes-tbc inventariseerde, bleken vooral kinderen op de bible belt getroffen door deze infectieziekte. De eerste patiëntjes die zich voor de studie aandienden, waren met name afkomstig uit Harderwijk, Hardenberg, Nunspeet, Elspeet en Zeeland. Een verband met vaccinatie kon hij al snel uitsluiten want de meeste kinderen waren wel ingeënt. Maar de vraag waarom de ziekte vooral heerst in die streng gereformeerde streken blijft intrigerend. Het is slechts één van de kwesties die Lindeboom hoopt op te lossen met het promotieonderzoek waarmee hij in 2002 startte.
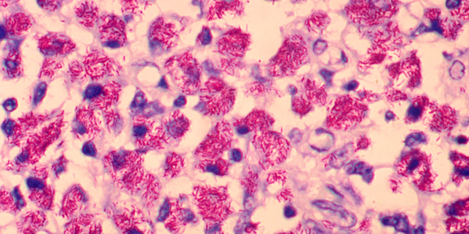
Vogeltjes-tbc is een infectieziekte die wordt veroorzaakt door de Mycobacterium avium, familie van de bekendere tuberculosebacil, de Mycobacterium tuberculosis. Het is één van de vele niet-tuberculose of atypische mycobacteriën. Vooral bij jonge kinderen tussen een en vijf jaar oud leidt een besmetting met de M. avium tot een ontsteking van de lymfeklieren in de nek of hals. De klier zwelt op en na verloop van tijd ontstaat een wond waar veel pus uitkomt. Koorts of andere ziekteverschijnselen doen zich niet voor.
‘Het is een infectie met een goedaardig beloop’, vertelt Lindeboom. ‘Maar als je niet ingrijpt, kan zij heel lang duren. Kinderen kunnen wel negen tot tien jaar rondlopen met een opgezwollen klier en eventueel een etterende wond in hun hals. Soms is een klier leeg, ‘uitgefisteld’, maar doemt een paar weken later de volgende weer op.’
Protocol
De aandoening komt niet vaak voor. De schattingen lopen uiteen van zestig tot honderd besmettingen per jaar. Lindebooms promotieonderzoek omvat een enquête onder kinderartsen, om te achterhalen hoe vaak zij patiëntjes met vogeltjes-tbc op hun spreekuur krijgen. Aan de studie, die uiteindelijk ook moet leiden tot een duidelijk protocol hoe te handelen bij een vermoedelijke besmetting, doen zo’n zestig academische en algemene ziekenhuizen mee.
‘Als hier in het AMC een kind met de Mycobacterium avium binnenkomt – dat zijn jaarlijks vier tot vijf – dan volgt er meestal een hele discussie over het te bewandelen traject’, geeft Lindeboom aan. ‘Er bestaat nog geen eenduidigheid over de diagnostiek en behandeling.’ De meeste kinderen worden standaard geopereerd, waarbij de geïnfecteerde lymfeklier wordt verwijderd. Maar in de vakliteratuur zijn ook meldingen gemaakt van succesvolle medicamenteuze behandeling. ‘In mijn onderzoek zal ik de chirurgische ingreep afzetten tegen een behandeling van twaalf weken met de antibiotica clarithromycine en rifabutine.’ Uit deze opzet zal moeten blijken wat de beste therapie is met de minste bijwerkingen.
Ter illustratie toont Lindeboom een video waarop hij een enorme geïnfecteerde klier uit de hals van een klein kindje peutert. Om vervolgens diep daaronder nog wat besmette kliertjes aan te treffen. ‘Een groot risico van de operatie is aangezichtsverlamming, zeker als de klier op de kaaklijn ligt, vlak bij de aangezichtszenuw. Maar ook medicatie kan bijwerkingen geven zoals maagdarmklachten. Bovendien is het bij jonge kinderen niet altijd zo makkelijk om medicijnen toe te dienen.’
Te laat
Vaak komen kinderen pas in een laat stadium van de ziekte bij de chirurg, nadat ze eerst via andere specialisten hebben rondgezworven. Zo verwijzen huisartsen kinderen met de zwelling in de hals soms door naar de oncoloog. Het stellen van de juiste diagnose kan lang duren. Gebruikelijk is een huidtest waarmee de drie meest voorkomende atypische mycobacteriën worden opgespoord, vergelijkbaar met de Mantouxtest voor tbc. Ook een biopsie uit de klier kan helderheid verschaffen. Soms is het nodig om de bacterie te kweken en kan het weken tot maanden duren voordat de definitieve diagnose gesteld is.
Lindeboom zoekt daarom ook naar een goede diagnosemethode. Daarbij werkt hij nauw samen met het Leids Universitair Medisch Centrum (LUMC). ‘Collega’s daar hebben een techniek ontwikkeld om het DNA van de bacterie in het pus aan te tonen. Een evaluatie van deze test maakt onderdeel uit van mijn onderzoek.’
Ook hoogleraar Kinderimmunologie Taco Kuijpers is betrokken bij het onderzoek. Hij bestudeert de afweer tegen vogeltjes-tbc en onderzoekt waarom sommige kinderen wel besmet raken en anderen niet. ‘We weten nog maar heel weinig over het natuurlijke beloop van de ziekte’, zegt hij. ‘We willen achterhalen wat normaal is en welke variaties er zijn in de cellulaire afweer tegen de mycobacterie. Inzicht daarin kan helpen om vast te stellen hoe lang een medicamenteuze behandeling voortgezet moet worden.’
Parkieten
Rest natuurlijk de vraag hoe die typische spreiding over Nederland tot stand komt. Lindeboom heeft wat rationelere hypothesen dan een invloed van het geloof: ‘De Mycobacterium avium komt gewoon in de natuur voor en is wijdverspreid. Je vindt haar in de bodem en in water en veel dieren dragen haar met zich mee. Vooral vogels, vandaar de naam. Vogeltjes-tbc treft vooral kinderen in landelijke regio’s. In steden komt het weinig voor, waarschijnlijk omdat kinderen daar minder buiten spelen of minder huisdieren hebben. Dat Groningen en Friesland, toch ook platteland, minder gevallen opleveren, kan bijvoorbeeld liggen aan verschil in participatie van de diverse centra. Niet alle artsen zijn even actief in het melden van ziektegevallen. Ook is het soms een kwestie van pech: een kind kan wel eens onder het mes gaan voor het verwijderen van de klier zonder dat de arts kijkt naar de oorzaak van de infectie.’
‘We vragen in het onderzoek ook naar het bezit van huisdieren. Als ik op mijn spreekuur die typische gezwollen klier zie en het kind heeft ook nog een parkiet, dan weet ik het wel.’

